코로나로 인해 전세계가 바이러스와 전쟁중에 있습니다. 최근 베트남과 중국에서 중국과 국경을 맞댄 중앙아시아 카자흐스탄에서 신종 코로나바이러스 감염증(코로나19)보다 치사율이 훨씬 높은 정체불명의 폐렴이 확산 중인 것으로 전해졌습니다.




10일 중국 관영 글로벌타임스와 홍콩 사우스차이나모닝포스트(SCMP)에 따르면 카자흐스탄 주재 중국대사관은 전날 위챗(중국판 카카오톡) 계정을 통해 자국민에게 이에 대한 주의를 당부했습니다.
상반기 1772명 사망
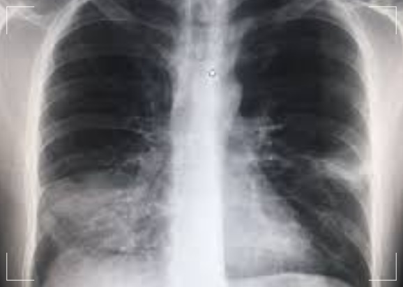
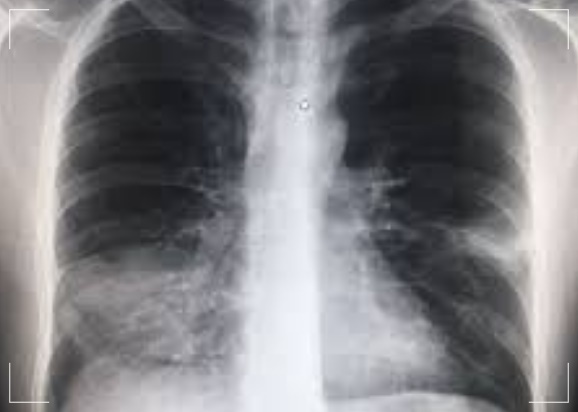
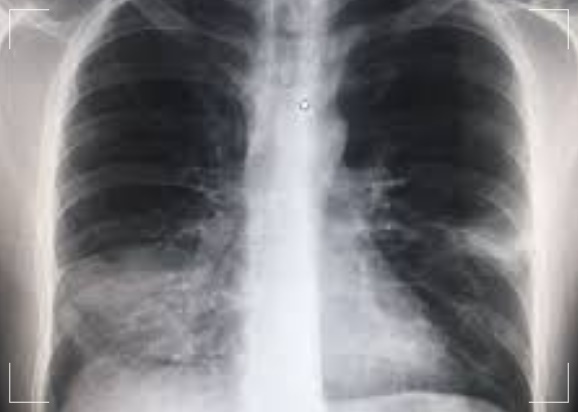
카자흐스탄에서 폐렴으로 인해 올해 상반기에 1천772명이 사망하고, 특히 6월 한 달 동안에만 628명이 목숨을 잃었으며 정체불명 폐렴의 치사율은 코로나19보다 훨씬 높습니다. 카자흐스탄 보건 당국이 이 폐렴 바이러스에 대해 비교 연구를 하고 있지만, 아직 바이러스의 정체를 밝혀내지는 못하고 있는 것으로 알려졌습니다.




지난해 같은 기간의 2배 발생
카자흐스탄 보건당국에 따르면 지난달 전국에서 1천700여 건의 폐렴이 발생했으며, 이는 지난해 같은 기간의 2배 이상에 달합니다. 이는 공식적인 통계여서 이보다 훨씬 많을 가능성도 있는데 보건당국은 "매일 300여 명이 폐렴 진단을 받아 입원하고 있다"고 전했습니다.
코로나19 정체불명 폐렴 연이어 확산
정체불명의 폐렴 확산은 코로나19와의 힘든 전쟁을 치른 카자흐스탄에 엎친 데 덮친 격의 재난이라고 할 수 있습니다. 카자흐스탄의 코로나19 누적 확진자 수는 지난 7일까지 4만9천683명으로, 이 가운데 264명이 사망했습니다.





코로나19 감염자 보다 2~3배 많이 발병
코로나19 확산으로 인해 지난 3월 16일 비상사태를 선포했던 카자흐스탄 정부는 5월 11일 봉쇄령을 해제했으나, 정체불명의 폐렴 확산 등으로 일부 지역에서 제한·격리 조치를 다시 강화하고 있습니다. 카자흐스탄 보건당국에 따르면 현재 폐렴에 걸린 환자의 수가 코로나19 감염자보다 2∼3배 더 많습니다.
카자흐스탄은 중국 서북부 지역에 있는 신장(新疆) 위구르(웨이우얼) 자치구와 국경을 접하고 있으며, 중국 전문가들은 이 폐렴의 중국 유입을 막기 위한 조처가 필요하다는 주장을 내놓고 있습니다.